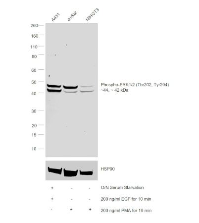
这种MILAN8R单克隆抗体在 T202/Y204 上磷酸化时可识别人和小鼠细胞外信号调节激酶 1 和 2(也称为 ERK1/2、p44/p42 或 MAPK3/1)。
重组小鼠单克隆抗体是使用体外表达系统生产的。重组抗体是使用编码所需抗体的特定基因生产的。这些基因被克隆到表达载体中并在体外表达。重组抗体的优点包括更好的特异性和批次间一致性。
建议仔细滴定抗体,以便在感兴趣的测定中获得最佳性能。
种属反应
Human, Mouse
宿主/亚型
Mouse / IgG1, kappa
Expression System
ExpiCHO
分类
Recombinant Monoclonal
类型
Antibody
克隆号
MILAN8R
偶联物
Unconjugated查看其它偶联染料
形式
Liquid
浓度
1.0 mg/mL
纯化类型
Protein A/G
保存液
PBS, pH 7.4
内含物
0.09% sodium azide
保存条件
Store at 4°C short term. For long term storage, store at -20°C, avoiding freeze/thaw cycles.
运输条件
Wet ice
RRID
AB_3666200