本产品的建议保质期为自收到之日起 1 年。
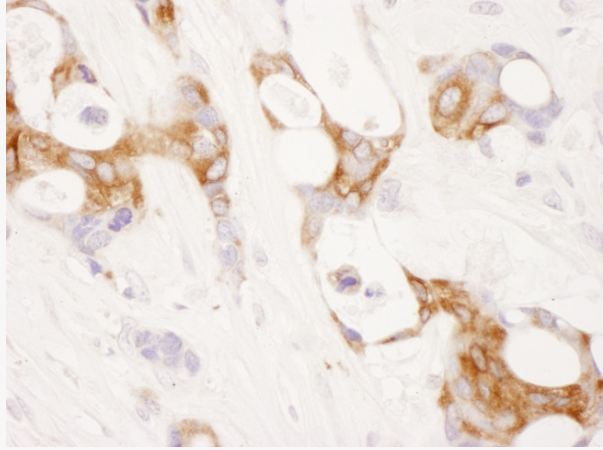
应用说明:对于 IHC,建议对 FFPE 组织切片使用柠檬酸盐缓冲液 pH 6.0 进行表位修复。
根据 100% 序列同一性,预计该抗体会与绵羊和牛发生反应
种属反应
Human
宿主/亚型
Rabbit / IgG
分类
Polyclonal
类型
Antibody
抗原
Region between residue 554 and 604 of human Cyclooxygenase-2.
查看免疫原
偶联物
Unconjugated
形式
Liquid
浓度
1 mg/mL
纯化类型
Antigen affinity chromatography
保存液
phosphate/tris citrate, pH 7-8
内含物
0.09% sodium azide
保存条件
4°C
运输条件
Ambient (domestic); Wet ice (international)